已经观察到接受抗糖尿病药物二甲双胍的糖尿病患者表现出较低的焦虑症患病率,但这种现象背后的确切机制尚不清楚。
近日,中国科学院上海药物研究所李佳团队、李扬团队联合临港实验室臧奕研究员,在《 Molecular Psychiatry 》期刊发表了题为“Anxiolytic effect of antidiabetic metformin is mediated by AMPK activation in mPFC inhibitory neurons ”的研究论文。研究揭示了抗糖尿病的一线药物——二甲双胍调控AMPK活性,增强脑内GABA能中间神经元活动,从而产生抗焦虑作用的神经机制。

https://www.nature.com/articles/s41380-023-02283-w
研究背景
01
恐惧和焦虑是对迫在眉睫的威胁的适应性防御性反应。 然而,当预期反应在威胁条件下变得过度或异常时,它会导致人类焦虑症,在其一生中的某个时刻影响超过20%的人口。 作为最常见的心理健康问题之一,焦虑障碍的典型表现为极度焦虑、回避行为以及社会和职业功能受损,常导致严重残疾。 然而,超过一半的焦虑障碍患者对目前的治疗反应不充分,这凸显了新治疗策略的紧迫性。
有趣的是,已发现使用二甲双胍(一种纠正外周组织代谢失衡的抗糖尿病药物)治疗的2型糖尿病患者焦虑症的发病率较低。然而,这种相关性的潜在机制仍未确定。二甲双胍治疗神经退行性疾病的潜力已在动物模型中进行了研究。此外,最近的研究表明,二甲双胍还可以减轻与几种非焦虑模型相关的焦虑样行为,例如脑缺血模型、胰岛素抵抗模型和尼古丁戒断模型。然而,二甲双胍影响焦虑的特定细胞和神经回路机制仍有待阐明。
降低焦虑症小鼠模型mPFC中的AMPK活性
02
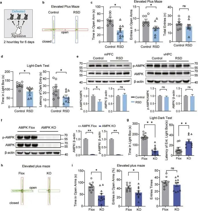
心理社会压力是情绪和焦虑障碍的常见催化剂,使用RSD程序(图1a)引入小鼠以诱导焦虑行为。通过四种标准化行为测试验证了此类行为的成功发展:高架加迷宫(EPM),明暗测试(LDT),开放现场测试(OFT)和社交互动测试(SIT)。RSD小鼠的焦虑样行为明显增加,如这些行为测试中的焦虑相关参数所示(图1b-d)。

mPFC AMPK活性降低调节了暴露于社会压力后的焦虑,AMPK的遗传消融增加了小鼠的焦虑样行为。
为了评估脑AMPK活性的变化,我们在处死RSD小鼠后使用了蛋白质印迹分析。我们针对两个边缘大脑区域进行分析:mPFC和腹侧海马体(vHPC),两者都显著调节啮齿动物和人类受试者的焦虑。分析显示,与对照小鼠相比,RSD小鼠mPFC中的p-AMPK(T172磷酸化)水平显著降低,而vHPC中没有明显差异(图1e)。这表明诱发焦虑的因素导致AMPK磷酸化减少。
研究结果
03
在我们的研究中,我们发现焦虑会导致内侧前额叶皮层(mPFC)中AMPK活动的区域特异性减少。同时,具有大脑特异性AMPK敲除的转基因小鼠表现出异常的焦虑样行为。用二甲双胍或过度表达AMPK治疗可恢复mPFC中正常的AMPK活性,并减轻社会压力引起的焦虑样行为。此外,mPFC中AMPK的特异性基因缺失不仅刺激了小鼠的焦虑,而且还抵消了二甲双胍的抗焦虑作用。脑切片记录显示,GABA能激发和由此产生的mPFC锥体神经元抑制输入在应激小鼠中选择性地减少。这种减少导致兴奋-抑制失衡,二甲双胍治疗或AMPK过表达可有效逆转。此外,mPFC中AMPK的遗传缺失导致GABA能抑制传递的类似缺陷,以及随之而来的mPFC锥体神经元的低抑制。我们还生成了一个小鼠模型,该模型具有特定于GABA能神经元的AMPK敲除。这种转基因小鼠的焦虑样行为证明了AMPK在GABA能系统中与焦虑有关的独特作用。
因此,我们的研究结果表明,mPFC抑制神经元中AMPK的激活是二甲双胍抗焦虑作用的基础,突出了这种主要抗糖尿病药物作为治疗焦虑症的治疗选择的潜力。
参考资料:
https://www.nature.com/articles/s41380-023-02283-w
本文来源:健康界 作者:健康界 免责声明:该文章版权归原作者所有,仅代表作者观点,转载目的在于传递更多信息,并不代表“医药行”认同其观点和对其真实性负责。如涉及作品内容、版权和其他问题,请在30日内与我们联系





我们沟通的很顺畅
电话已拨通,无人接听
这个电话号码是空号